En Hospital VOT contamos desde hace más de cuatro años con una Resonancia Magnética 3 Teslas (RM 3T), una tecnología de imagen avanzada que se ha consolidado como una herramienta clave dentro de nuestro modelo asistencial. Esta tecnología aporta mayor precisión diagnóstica y seguridad clínica, tanto para los profesionales sanitarios como para los pacientes, reforzando nuestro compromiso con una medicina moderna y de alta calidad.
¿Que aporta la Resonancia Magnetica 3 Teslas?
La RM 3T permite obtener imágenes de altísima resolución, con un nivel de detalle superior al de los equipos convencionales. Gracias a ello, se facilita la correcta valoración de estructuras complejas como:
Cartílago
Meniscos
Ligamentos
Tejidos blandos
Esta capacidad de detalle resulta fundamental para detectar lesiones con mayor exactitud y reducir el margen de error diagnóstico.
“La Resonancia Magnética 3 Teslas nos permite ver detalles que en otros equipos pueden pasar desapercibidos. Esto es clave para realizar diagnósticos más precisos y tomar decisiones terapéuticas mejor fundamentadas”,
Dr. Sergio Holgado, traumatólogo de Hospital VOT.



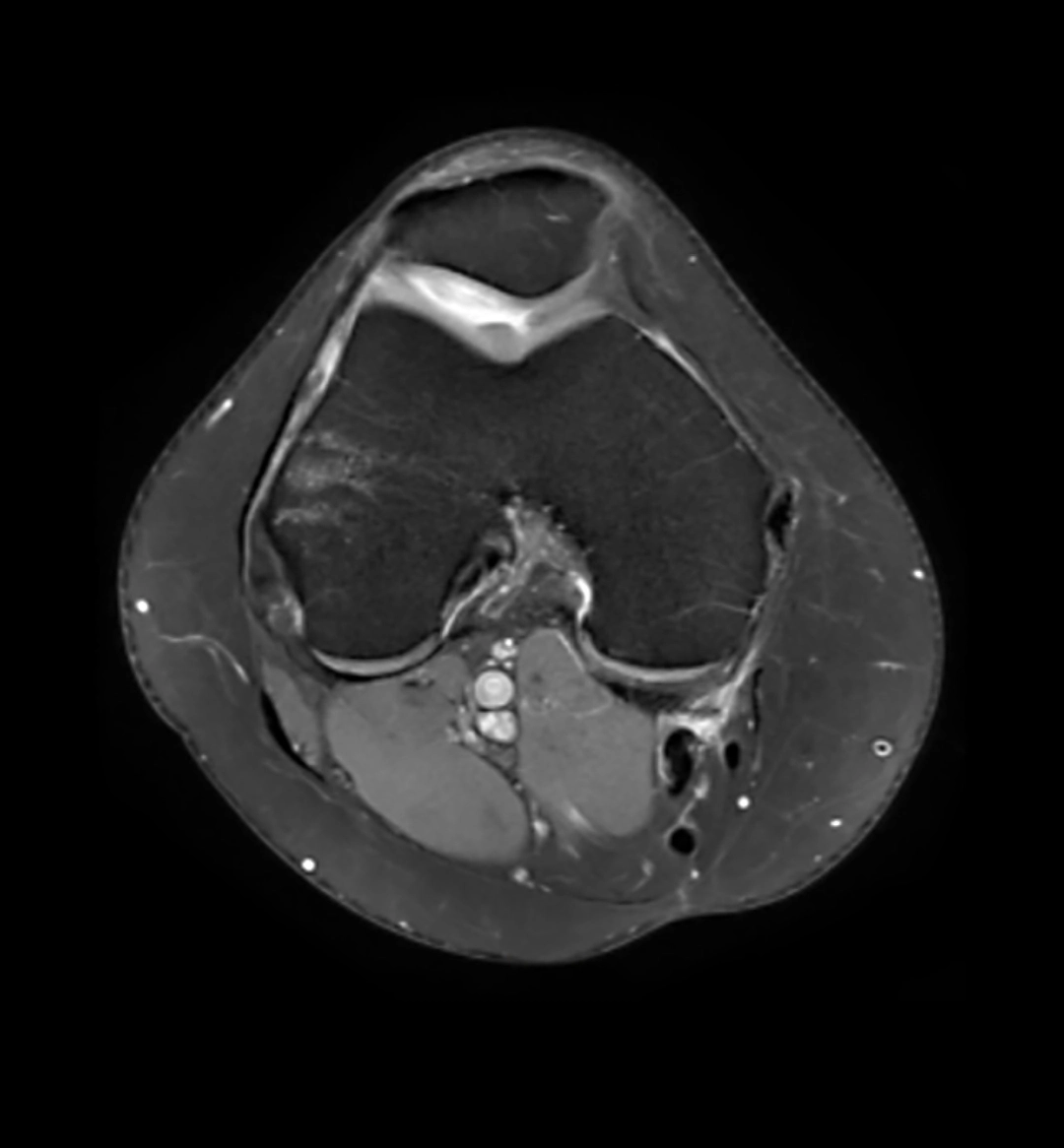
Estudio de rodilla mediante RM 3 Teslas de VOT, con alta definición anatómica y excelente contraste tisular para una valoración precisa de estructuras osteoarticulares y partes blandas.
Tecnologia consolidada en la practica clinica diaria
Lejos de ser una novedad puntual, la Resonancia Magnética 3 Teslas forma parte del día a día clínico en Hospital VOT, especialmente en los estudios musculoesqueléticos y articulares, donde la calidad de imagen resulta determinante para una correcta interpretación. Gracias a esta tecnología, nuestros especialistas pueden:
Detectar lesiones sutiles de forma precoz
Planificar tratamientos y cirugías con mayor exactitud
Realizar un seguimiento más fiable de la evolución del paciente
“Disponer de imágenes de alta definición nos aporta una gran confianza diagnóstica y reduce la necesidad de pruebas complementarias, lo que beneficia directamente al paciente”, añade el Dr. Holgado.
Beneficios reales para el paciente
Para el paciente, el uso de la Resonancia Magnética 3 Teslas se traduce en beneficios claros y tangibles:
Diagnósticos más claros y fiables
Menor incertidumbre durante el proceso diagnóstico
Procesos más ágiles y eficientes
Todo ello refuerza el compromiso de Hospital VOT con una atención sanitaria precisa, segura y centrada en las personas, donde la tecnología está siempre al servicio del bienestar del paciente.
¿Quieres saber como la Resonancia Magnetica 3 Teslas puede mejorar tu diagnostico?
Descubre toda la información sobre nuestra tecnología de RM 3T en Hospital VOT.


